◈ 결핵이란?
결핵은 결핵균(Mycobacterium tuberculosis complex)이라는 세균에 의해 발생하는 감염병이다.

결핵에 감염된 환자가 기침을 하면 공기 중으로 결핵균이 떠 다니다가 주변의 다른 사람이 숨 쉴 때 폐로 들어가서 감염되고 폐로 들어온 결핵균이 증식하면서 염증반응을 일으킨다.
결핵은 공기를 매개로 전이되는 2급 전염병이다.
폐결핵이 75~80%로 대부분을 차지하지만 결핵은 임파선, 신경, 머리, 심장, 뼈 등 온몸에 생길 수 있다.
전염은 폐결핵에서 생기며 폐 이외의 결핵은 전염성이 없다.
결핵이 아직 있을까?
우리나라의 생활 수준에 비하면 결핵이 아직 많은 편이다.

10만 명당 전체환자 수가 50명 정도 된다.
그래프를 보면 점점 환자수가 줄고 있다는 것을 알 수 있다.
2011년보다 2020년에는 절반으로 줄었다.
※ 결핵환자 발생 현황(2010~2020), 단위 : 명

전체 환자수를 보면 여전히 결핵환자가 많다는 것을 알 수 있다.
2020년 OECD 결핵 발생률을 살펴보면
OECD 평균 결핵 발생률과 우리나라를 비교했을 때 거의 4배 정도 높게 나온다.
그렇다 보니 결핵 발생률도 세계 1위지만 사망률도 세계 1위를 차지하고 있다가 최근에 3위로 떨어졌다.

뿐만 아니라 국내 사망원인 중에 14위를 차지하고 있다.
법정 감염병 중에서는 1위를 차지하고 있다.
2020년 코로나 사망자 수가 922명이었는데 결핵 사망자수는 1,356명이었다. 사망자수도 많이 줄고 있는 추세다.
65세 미만과 65세 이상 결핵 환자 발생자수와 사망자수를 비교해 보면 발생자수는 거의 50:50으로 비슷하다. 하지만 사망자 비율을 보면 65세 이상에서 80%를 차지한다.
◈ 결핵의 전염과 발병
일정 공간에 결핵환자와 함께 있으면 결핵균에 노출되어 공기 중으로 전염될 수 있다.
그런데 어떤 사람은 전염이 되고 어떤 사람은 전염이 되지 않는다.
▶ 결핵 전염(감염)
결핵균에 노출된 밀접 접촉자 100명 중에 결핵균에 감염되는 사람이 30% 정도 되고 나머지 70%는 감염되지 않는다.
이것은 얼마나 많은 균에 노출되었는가 그리고 선천적인 면역의 정도는 어느 정도인가에 따라 다른 결과가 나온다.

▶ 결핵 발병
결핵균에 감염되어도 평생 결핵이 발생하지 않는 경우가 90%가 되며 나머지 10%는 2년 아내 결핵 발병이 5%이고 나머지 5%는 평생에 걸쳐서 발병한다. 이것은 연령과 면역에 따라 달라질 수 있다.
그래서 전염과 발병은 다른 개념이다.
우리가 병원에서 결핵 진단을 받고 치료를 받는 것은 결핵이 발병했을 때이다.
결핵으로 사망하는 대부분의 환자가 고령의 나이에 집중되어 있다.
◈ 결핵에 걸렸을 때 증상은?
결핵의 증상은 호흡기 질환과 거의 같다.
기침, 가래, 발열, 흉통, 체중 감소, 식은땀, 객혈 등 다양하지만 증상만으로는 결핵을 감별하기 어렵다.
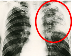
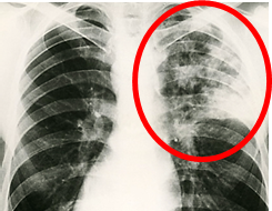
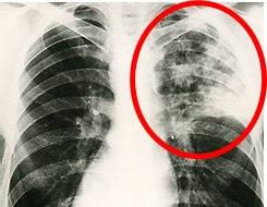
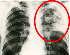
초기 결핵의 경우 증상이 없기 때문에 건강검진의 흉부사진에서 우연히 발견되기도 한다.
2주 이상 기침을 계속하면 결핵검사를 받아보는 것이 가장 좋다.

◈ 결핵 진단 방법
. 흉부 방사선 사진
. 가래 검사(최소 2회 이상 가래 결핵균 도말검사, 배양검사, 유전자 증폭 검사)
. 기관지 내시경 검사
. 흉부 전산화 단층 촬영(CT)
. 조직검사
◈ 결핵균이 없는데 결핵?
결핵균은 있지만 결핵균을 찾지 못하는 경우가 있다. 이때 여러 가지 진단 검사를 통해 결핵으로 진단할 수 있다.
. 국내 결핵 환자의 약 30% 정도 차지하고 있다.
. 초기 폐결핵의 경우 가래에서 균을 진단하기 어려운 경우가 많다.
. 폐 외 결핵의 경우 결핵균 진단이 어려운 경우가 많다. 일례로 머리에 결핵이 있으면 결핵균을 확인하기 힘들다.
. 결핵균을 찾지 못할 경우 사진 검사와 전문가의 진단을 통해 균음성 결핵으로 진단할 수 있고 결핵 치료 후에 실제로 호전된다.

◈ 결핵 치료 방법
여러 가지 결핵약이 있는데 한 가지 약으로 치료하기 힘들다. 그래서 최소한 3가지 이상의 약제를 병합해서 치료를 한다.
성인 기준 거의 13알의 알약을 매일 1회 6개월 동안 먹는다.
최근에는 먹기 편하게 여러 알약을 한알로 만든 복합제 알약이 나와 있어서 3~4알 정도 먹는 알약도 있다.
. 약물 치료(가장 기본적인 치료), 우리나라에서는 치료비가 무료이다.
. 결핵약제 병합치료(3~4가지)
. 결핵약제 장기치료(6~9개월)
. 1일 1회 공복에 복용
. 일반결핵(감수성 결핵) : 1차 약제
. 내성 결핵 : 2차 약제
집중치료기(2개월) : 13알의 약을 1일 1회 복용
유지치료기(4개월) : 4~8알 정도 1일 1회 복용
이렇게 장기간 약을 복용해야 하는 것은 결핵균의 매우 끈질긴 특성 때문이다.
결핵균은 성장 속도가 느리고 상황에 따라 빠르게 증식했다가 어떤 때는 휴면기를 가지기도 하는 간헐적 증식을 한다.
휴면기 때 치료가 된 줄 알고 약을 끊으면 다시 재발하게 되고 약에 내성이 생긴 결핵균을 치료하기 위해 더 강한 약을 써야 하기도 한다.
결핵균은 몸속에 들어와 계속 변이 하기 때문에 치료할 때 확실하게 치료해야 한다. 그래서 치료기간이 길고 약도 여러 약을 사용하여 변이에 대처한다.
결핵은 소모성 질환으로 증상 중에 체중감소가 있다.
치료가 잘 되면 다시 체중이 증가한다.
체중이 증가하면 치료가 잘 되고 있다는 지표가 되기도 한다.
하지만 많은 양의 약을 공복에 복용하다 보니 속 쓰림을 호소하고 오히려 살이 빠지는 경우도 있다.

◈ 결핵약은 독하지 않은가?
결핵약은 걱정하는 만큼 위를 상하게 하지는 않지만 공복에 복용하다 보니 속이 쓰리고 불편함을 호소하는 경우가 많다.
힘이 들더라도 인내하고 하루도 거르지 않고 약을 복용해야 한다.
이 외에도 입맛이 없고 토하는 경우, 피부가 가렵고 발진이 생기는 경우, 온몸이 쑤시고 관절이 아픈 경우, 눈이 침침해지고 잘 안 보이는 경우, 간독성이 생기는 경우, 통풍이 생기는 경우 등 10에 1명이 이러한 증상 중에 하나를 호소하기도 한다.
이러한 어려운 상황을 잘 견디고 꾸준히 약을 복용하는 사람이 있는가 하면 도저히 약을 복용할 수 없어서 약을 바꿔야 하는 경우도 있다.
어떤 경우에도 약을 꾸준히 복용해야 하며 중간에 약을 복용하지 않는 것을 반복하다 보면 결핵치료를 할 수 없는 상황까지 갈 수 있다.
직장인의 경우 결핵 진단을 받고 치료에 들어갈 때 직장을 쉬어야 하는지 궁금해하는 경우가 많다.
결핵 약물 치료를 시작하자마자 결핵균이 14일 동안 1/200로 감소한다.(환자의 증상, 병의 중증도, 내성여부에 따라 기간이 달라질 수 있다.)
결핵은 전염병이기 때문에 초기 치료까지는 본인과 직장 동료를 위해 예방 차원에서 2주(14일) 동안 쉬는 것을 권장한다.
◈ 내성 결핵이란?
결핵 일차치료 약 4가지 중에 핵심적인 약 '이소니아지드(아이나)'와 '리팜핀'에 내성을 보이는 결핵균에 감염된 경우를 다제 내성 결핵이라고 한다.
약이 듣지 않기 때문에 치료에 어려움을 겪는다.
이소니아지드(아이나) 혹은 리팜핀 단독으로 내성을 보이는 경우도 있지만 다제 내성 결핵이 대부분이다.
다제내성 결핵 환자 수도 매년 감소하는 추세다.

▶ 내성 결핵이 생기는 이유는?
가장 큰 원인은 결핵균의 변이 때문이다.
자연적으로 생기는 변이도 치료하기 위해 여러 약제를 동시에 사용한다.
하지만 약을 먹다가 안 먹다가 반복하면 약에 대한 내성이 생기기 때문에 꾸준히 치료를 완료해야 한다.
그런데 결핵을 처음 진단받는데 내성결핵으로 진단받는 경우도 있다.
이 경우는 안타깝게도 처음부터 내성 결핵균이 들어온 것이다.
▶ 내성 결핵 진단 방법은?
처음부터 내성 결핵을 잘 진단하여 적절한 치료를 하는 것이 가장 좋다.
물론 일반 결핵을 진단받고 치료하다가 잘 안되어 내성결핵으로 다시 진단받고 치료를 하는 경우도 있다.
. 우선 결핵균 진단
. 결핵균이 결핵 약제에 잘 듣는지 실험실에서 검사
. 통상 감수성 검사(배양방법으로 확인하기 때문에 시간이 소요된다. 배양 후 4~6주)
. 신속 감수성 검사(배양 균주의 내성유전자 검사, 1~2주)
. 객담 신속 감수성 검사(가래에서 결핵균 내성 유전자 검사, 1~2일)
▶ 내성 결핵 치료방법
. 약물 치료가 기본이며 우리나라에서는 치료비가 무료이다.
. 2차 결핵 약제를 4~5개 병합하여 사용한다.
. 2015년 이후 다제 내성 결핵 치료에 신약이 도입되었다.(서투러 정, 델티바 정)
. 신약은 질병관리청 산하 신약사전심사위원회의 승인 후 사용할 수 있다.
. 치료 기간은 약 18~20개월
. 다제 내성 결핵 전문기관에서 치료
. 폐절제술을 병행하기도 한다.
◈ 잠복 결핵 감염은 무엇이며 치료를 해야 하는가?
결핵균에 노출되어 내 몸속에 결핵균이 들어온 상태지만 인체 내의 방어면역으로 균이 증식하지 않고 발병하지도 않은 상태를 말한다.
병으로 발전하지 않았기 때문에 증상이 없고 다른 사람에게 전염시키지도 않는다.
그런데 균을 발견할 수 없는데 어떻게 진단을 할까?
일단 결핵이 아니라는 것부터 진단을 받아야 한다.
결핵균이 우리 몸에 들어오면 특이한 면역반응이 일어난다.
이러한 면역반응이 있는지 없는지 여부를 확인하여 간접확인하는 방법을 사용한다.
검사 방법에는 결핵 피부반응 검사(투베르쿨린 반응 검사) 혹은 혈액 검사(전혈 인터페론 감마 분비 검사)를 통해 면역반응 검사를 한다.
검사에서 양성이 나오면 결핵균에 감염된 것으로 진단한다.

▶ 잠복 결핵 감염 검사는 언제 하는가?
누가 언제 결핵에 감염되었는지 알 수 없기 때문에 다음과 같은 경우 검진을 하게 된다.
. 결핵 발병 위험이 높은 경우(전염성 결핵 밀접 접촉자, 이식 등으로 면역 저하자)
. 면역이 취약한 사람들과 접촉하는 집단시설 종사자(의료기관, 산후 조리원, 어린이집, 유치원, 학교 등)
. 잠복결핵 감염 진단 후 치료를 통해 결핵 발병을 예방
▶ 잠복 결핵 감염 치료방법은?
. 결핵 약제를 이용 (이소니아지드 9개월 요법, 리팜핀 4개월 요법, 이소니아지드 + 리팜핀 병합 3개월 요법)
. 적절한 치료를 하면 결핵 발병을 60~90% 예방할 수 있다.
◈ 결핵 치료를 받은 적이 없는데 흉부 사진에 결핵 흉터가 있는 경우?
. 결핵이 면역기 전에 의해 자연 치료된 경우 흉터가 흉부 사진에 남기도 한다.
. 흉부 방사선 사진만으로는 명확하게 구분이 어려운 경우가 많다.
'Nature and People' 카테고리의 다른 글
| 매독(Syphilis)이란 무엇이며 증상과 치료법 및 매독 완치는? 매독의 감염 경로와 급증하는 이유는? (0) | 2023.10.03 |
|---|---|
| 해부학적으로 치매 상태에 있는 뇌는 뇌세포 기능을 활성화하면 치매 증상이 나타나지 않을 수 있다? (APOE4 유전자와 음식의 치매 연관성) (0) | 2023.07.31 |
| 잔대(사삼)의 효능 / 잔대(사삼)와 더덕(양유)은 다르다 (0) | 2023.07.13 |
| 땅콩 겉껍질, 속껍질 효능 / 땅콩 보관방법과 먹는 방법 및 주의할 점(부작용) (0) | 2023.07.07 |
| 홍화(잇꽃)와 홍화씨 효능(혈액순환, 뼈건강) 및 주의할 점 / 홍화꽃잎 염색 방법(분홍색) (0) | 2023.07.05 |