◈ 석회성건염이란?
어깨 힘줄의 퇴행성 변화 등에 의해 석회가 생겨나 염증이 발생하고 심한 통증이 생기는 질병이다. 시기에 따라 석회는 딱딱하거나 치약과 같은 무른 형태일 수 있다.

◈ 석회성건염 증상은?
석회복합체가 생기면 힘줄에 통증이 유발된다. 더 진행되면 오십견, 회전근개파열 등의 어깨질환과 유사한 통증이 생긴다.

다른 어깨 질병과 통증은 유사하다. 하지만 석회성건염에 의한 통증은 어느날 갑자기 생긴다는 특징이 있다. 석회가 치약과 같은 무른 형태일 때 응급실에 갈정도 급작스럽게 심한 통증이 생긴다.

어깨에 생기는 질환들은 공통된 증상들이 있다. 팔이 잘 올라가지 않거나 빗질하기도 어려우며 심지어 밤에 잠을 제대로 잘 수 없을 수도 있다.

◈ 석회성건염 자가진단법
내가 혹시 석회성건염인지 확인해보는 자가 진단 체크리스트해보자.
석회성건염만의 특징을 모아 놓은 체크리스트
1. 어깨에 극심한 통증이 갑자기 발생했다.
2. 어깨에 무언가 스치기만 해도 고통스러울 정도로 통증이 심하다.
3. 어깨관절 앞쪽에서 팔 아래와 목 주변까지 통증이 있다.
4. 팔을 앞으로 혹은 옆으로 올리는 동작에서 시큰거리는 통증이 있다.
5. 통증이 심해 앉아 있기 힘들어 응급실에 갈 정도다.
6. 어깨를 눌렀을 때 위치에 따라 통증을 느낄 수 있다.
◈ 석회성건염의 원인은?
주로 40~50대 중년에서 자주 발생한다.
여성이 남성보다 2배 이상 많다. 평소에 가벼운 노동으로 어깨를 사용하는 빈도가 남성보다 많기 때문이다.

너무나 많은 원인들이 있지만 아직 정확하게 밝혀진 것은 없다.
하지만 가장 유력한 가설 중에는 혈액공급이 원활하지 못해 생기는 것으로 보고 있다. 퇴행성 파열이나 혈관의 문제로 혈액공급이 줄어드어 국소적으로 산소가 보족한 부위에 석회가 침착된다는 가설이 유력하다.
그 외에도 당뇨, 갑상선질환, 외상 등 많은 원인이 있다.
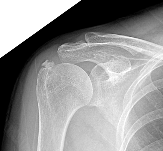
◈ 석회성건염의 진단은?
석회성건염은 X레이로 쉽게 찾을 수 있다. 이외에도 초음파, MRI로도 찾을 수 있다.

평소에 관절 운동의 기본인 스트레칭을 5분 이상 꼭 하는 것이 좋다.
스트레칭을 통해 석회성건염을 조기에 발견할 수도 있다.
◈ 석회성건염 치료는?
다른 어깨질병과 유사한 증상이 많기 때문에 정확한 진단이 우선이며 신속하고 정확한 치료가 필요하다.
진통 소염제, 물리치료, 스테로이드 주사치료, 체외충격파(초음파 치료)

급성은 치료 후 1~2주 내에 호전된다.
3~6개월 치료에도 통증이 지속될 때는 수술적 치료를 고려한다.
*수술적 치료법이란?
어깨에 3개의 구멍을 뚫어 관절 내시경을 통해 쌓여 있는 석회를 확인하고 제거한다.
수술 후 회전근개의 근력 강화 운동을 지속적으로 하는 것이 좋다.
'Nature and People' 카테고리의 다른 글
| 당나귀의 더러운 성질, 하이에나도 울고가는 의외의 싸움꾼 (0) | 2022.04.24 |
|---|---|
| 버거씨병(Buerger's Disease)이란? 원인과 초기증상 및 치료방법 (0) | 2022.04.06 |
| 아르기닌(L-Arginine)의 효능과 복용법 및 부작용 (0) | 2022.04.02 |
| "로즈힙 퓨레" 로즈힙의 놀라운 효능(독소와 염증배출), 다이어트 효과까지 (0) | 2022.03.28 |
| 마누카꿀(Manuka Honey) 효능과 등급 / 항균효과와 상처 치유 등 (0) | 2022.03.26 |