혈압이 높아서 병원 검사를 받는 과정에 간 수치가 높다는 말을 들었다.
간에 불이 났다고 표현하기도 하는데 간에 지방이 많아 염증까지 있기 때문이다.
지방간은 전체 간세포 중에 지방을 포함한 간세포가 5% 이상일 때를 말한다.

정상 간은 암적색을 띠고 표면도 아주 매끄럽다.

지방간은 약간 노란색을 띠며 간의 크기가 조금 더 증가한 모습을 하고 있다.
우리나라 성인 3명 중 1명은 지방간일 정도로 매우 흔한 질병이 되어 있다.
흔히 지방간은 술을 많이 마시는 사람에게 생기는 것으로 알려져 있다. 이것을 알콜성 지방간이라고 한다.
하지만 술을 마시지 않는데도 지방간이 생긴다. 과량의 에너지가 몸에 들어오고 적절한 시기에 소화되지 않았을 때 지방이 간에 쌓이게 된다.
이런 경우 비알코올성 지방간 질환(NAFLD, Non-Alcoholic Fatty Liver Disease)일 가능성이 높다. 이는 간에 지방이 과도하게 축적되는 상태로 다양한 원인에 의해 발생한다.
우리가 먹는 음식은 포도당으로 전환되어 에너지원으로 사용하게 된다.
음식을 과도하게 섭취하면 남은 포도당이 지방으로 바뀌어 쌓이게 된다. 제일 먼저 피부아래에 피하지방을 만들고 남은 지방은 내장지방이 되기도 하고 그래도 남은 것은 간에 쌓이게 된다.
2023년 지방간 환자의 비율을 보면 알콜성 지방간은 6%, 비알콜성 지방간은 94%에 달한다. <출처 : 건강보험심사평가원>

심지어 미국에서는 비알코올성 지방간이 간 이식을 해야 하는 원인 질환 중 두 번째를 차지하고 있다.
피로는 간 때문이야...라는 티브이광고를 많이 봤을 것이다.
하지만 지방간은 초기에 대부분 아무런 증상이 없다.
간 때문에 피로감을 느낄 정도면 이미 간경변에서도 아주 심각한 상태가 되었을 때 가능하다.
피로감은 간뿐만 아니라 여러 가지 다른 요인과 복합되어 나타날 가능성이 매우 높다.
노화 혹은 운동부족, 근감소, 충분하지 않은 단백질 섭취 때문일 수도 있다.
지방간은 건강검진에서 발견되는 경우가 대부분인데 증상이 나타나서 병원에 간다면 이미 병이 많이 진행되어 심각한 단계에 있음을 의미한다.
지방간을 방치하면 20~40%는 지방간염으로 진행되고 여기서 더 방치하면 간이 딱딱해지는 섬유화, 간경변증, 간암까지 진행될 수 있다.

◈ 비만이 아닌데 지방간이 왜 생기나요?
지방간 환자 중에 80%는 비만이고 20% 정도는 비만이 아니다.
비만하지 않아도 지방간이 생길 수도 있다는 것이다.
지방과 근육이 합쳐져서 몸무게가 되는데 근육이 감소하면 지방간이 발생할 확률이 높아진다. 부족한 근육량을 지방이 채우기 때문이다. 이것을 마른 지방간으로 분류한다.
근육량이 부족하면 들어오는 영양분을 제대로 소화하지 못해 일부는 뱃살로 일부는 간으로 지방이 쌓이게 된다.
◈ 술을 안 마시는데 지방간이 생기는 주요 원인
1. 비만 및 과체중
체중이 증가하면 간에도 지방이 쌓이기 쉬워지며, 특히 내장 지방이 많은 경우 지방간 위험이 높아진다.
2. 인슐린 저항성 및 당뇨병
당뇨병이나 인슐린 저항성이 있으면 간에서 지방 합성이 증가하여 지방간이 유발될 수 있다.
3. 고탄수화물 및 고당분 식습관
탄수화물(특히 정제 탄수화물)과 과당이 많은 음식을 자주 섭취하면 지방간이 생길 수 있다. (예: 흰쌀밥, 빵, 라면, 탄산음료, 과자 등)
4. 운동 부족
신체 활동이 적으면 지방이 간에 축적될 가능성이 커진다.
5. 고지혈증 (지방 대사 이상)
혈중 중성지방과 콜레스테롤 수치가 높으면 간에서 지방이 쌓이기 쉬워진다.
6. 갑상선 기능 저하증
갑상선 기능이 저하되면 신진대사가 느려지고 지방 분해가 원활하지 않아 지방간 위험이 증가할 수 있다.
7. 유전적 요인
가족 중 지방간이 있는 경우, 유전적으로 지방간이 생기기 쉬운 체질일 수도 있다.
8. 약물 부작용
일부 약물(스테로이드, 일부 항암제, 고지혈증 치료제 등)이 간에 지방을 축적시키는 부작용을 일으킬 수 있다.
현재 우리나라에는 지방간을 치료하는 약이 아직 없다.
지방간을 치료하는 미국 FDA 승인을 받은 약제는 하나밖에 없다.
우리나라에 들어오려면 아직 많은 시간이 필요하다. 그렇기 때문에 지방간을 치료하기 위해서는 생활습관을 개선해야 한다.
◈ 지방간을 개선하려면?
자기 체중의 5%를 감량하면 간에 쌓인 지방이 감소하기 시작하고 7%를 감량하면 지방과 염증이 감소하기 시작한다.
여기서 주의할 점은 1주일에 1.5kg 이상 감량하면 오히려 간에 좋지 않다는 것이다.
일주일에 1kg씩 감량하는 것이 가장 좋다.
평소보다 하루에 500kcal 적게 먹는 것부터 시작해 보자.
500kcal는 어느 정도 양일까?
일반적인 구내식당에서 나오는 한 끼 식사는 700~800kcal 정도 된다.
매 끼니마다 밥을 1/3 정도 남기면 거의 하루 500kcal를 줄일 수 있다.

운동선수가 아닌 이상 운동만으로 체중을 감량하는 것은 쉽지 않다.
우리가 먹는 음식이 생각보다 열량이 매우 높다.
◈ 지방간 예방 및 관리 방법
✅ 식습관 개선
가공된 탄수화물 줄이기 (흰쌀, 밀가루 음식 대신 현미, 통곡물 섭취)
설탕과 과당(특히 탄산음료, 과일 주스) 줄이기
건강한 지방 섭취 (견과류, 올리브유, 생선 등)
단백질 위주의 균형 잡힌 식사
※ 지중해 식단
지중해 연안 지역의 식사를 일컫는 것으로 통곡물, 생선, 견과류, 채소, 과일로 구성된 식단이다. 혈관 건강과 지방간에 이로운 식단이다.
✅ 운동
유산소 운동(걷기, 달리기, 자전거 타기)과 근력 운동 병행
✅ 체중 관리
체중 감량(특히 내장지방 줄이기)이 가장 효과적인 지방간 치료 방법
✅ 기저 질환 관리
당뇨, 고지혈증, 갑상선 질환이 있다면 적극적으로 치료
✅ 정기 건강검진
간 기능 검사, 초음파 검사 등을 통해 지방간 진행 여부 확인
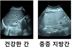
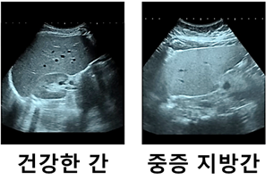
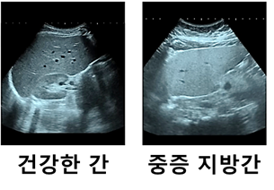
지방간은 혈액검사를 통해 수치로 나타낼 수 있고 초음파 검사를 통해 간의 구조, 형태, 혈류를 측정할 수 있다.
초음파 검사에서 지방간이 심하면 간이 하얗게 보인다. 너무 심하면 보여야 할 혈관이 하나도 보이지 않는다.

비알코올성 지방간을 방치하면 지방간염, 간경변, 간암으로 진행될 수도 있으므로 생활 습관을 개선하는 것이 매우 중요하다.
흔히 우리가 알고 있는 다이어트는 체중 감량의 뜻으로 알고 있지만 사실은 건강한 식단을 의미한다. 여기에 더해 적당한 운동을 꾸준히 하면 지방간 치료에 많은 도움이 된다.
◈ 간에 좋다는 영양제는 지방간에 도움이 될까?

지방간을 호전시키는 영양제는 없다. 다만 간 수치가 높아 간세포가 손상된 것을 회복하는데 간접적인 도움은 될 수 있다.
지방간 치료 개념의 약은 아직 없다.
'Usage' 카테고리의 다른 글
| 단백뇨, 거품뇨(소변에 거품이 생기는 현상)의 원인과 좋은 식품 (1) | 2025.03.16 |
|---|---|
| 야간뇨(밤에 자다가 깨서 소변 보는 증상), 왜 생길까? 야간뇨 원인과 해결 방법 및 좋은 영양성분은? (0) | 2025.03.12 |
| 생강의 효능(항염, 항암, 항산화, 소화건강, 관절염, 혈액순환, 심혈관건강, 항균, 항바이러스 등)과 생강을 먹으면 안되는 사람 / 생강에 핀 곰팡이는 괜찮을까? (0) | 2025.02.19 |
| 새롭게 밝혀진 피부 가려움증의 원인과 유발 경로 (0) | 2025.02.19 |
| 바나나 속껍질과 레몬즙으로 치아미백 효과 있다. 하지만 효과는 단시간에 끝. 착색과 변색이란? (0) | 2025.02.09 |