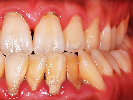
치석이 생기는 이유 원인
치석은 치아 사이에 생기는 돌조각입니다.
치석이 만들어지는 원인은 식사 후에 치아와 잇몸 경계 부위 그리고 치아 사이에 양치로 제거되지 않은 음식물 찌꺼기와 프라그가 남게 되는데요.

오랜 시간이 지나면서 침 속의 칼슘, 인과 반응해서 돌처럼 굳어 치석이 됩니다.
치석 위에 다른 음식물 찌꺼기가 계속 달라붙어 점점 커지게 됩니다.
한번 생성된 치석은 칫솔질이나 워터픽으로 절대 제거되지 않습니다.

치석은 치과에서 스케일링으로만 제거할 수 있습니다.
치석이 잘 생기는 사람과 그렇지 않은 사람?
치석은 유전적인 원인이 크다는 보고가 있습니다.
사람마다 침의 농도가 다른데요. 침의 농도가 걸쭉하고 끈적거리는 사람이 치석이 잘 만들어지는 반면에 침의 농도고 묽고 투명한 사람들은 치석이 잘 생성되지 않는 것으로 보고되고 있습니다.

만일, 치아 관리를 잘하고 있는데도 불구하고 치석이 잘 생긴다면 이러한 유전적 요인인 침의 농도 영향이라고 생각하시면 됩니다.
치석은 침이 많이 나오는 침샘 부근에 있는 치아에 주로 많이 생깁니다.
혀밑 침샘이 있는 아랫니 안쪽

그리고 귀밑 침샘이 있는 윗니 어금니 바깥쪽에 많이 생깁니다.

치석은 잇몸질환의 가장 근본적인 원인이고 첫 번째 원인이 됩니다.
치석 표면은 거칠어서 프라그가 쉽게 붙을 수 있는 장소가 됩니다.
프라그는 세균덩어리입니다. 잇몸질환을 유발하는 주된 원인이기 때문에 프라그가 잘 생길 수 있는 치석을 제거하는 관리는 꼭 필요합니다.
잇몸과 치아 경계에 치석이 생기면 염증이 생기기 쉽고 이로 인해 잇몸이 민감해져 혈관이 확장되어 통증과 출혈이 생길 수 있습니다.
치석 제거하는 법
대부분 마취하지 않고 초음파 기구로 치석제거를 하지만

염증이 심하고 치석이 잇몸 깊숙이 파고 들어가 있는 경우에는 초음파 기구와 수기구를 함께 사용해서 치석을 제거합니다.
치석 제거용 치약은 마모도가 높은 연마제를 사용하지만 한번 생긴 치석은 칫솔질로는 제거할 수 없고 치약보다는 칫솔질 방법에 문제가 있기 때문에 큰 의미가 없다고 봅니다.
치석제거 칫솔 방법
치석이 잘 생기는 아랫니 안쪽은 칫솔을 더욱 깊숙이 넣어서 닦아야 하며

윗니 어금니 바깥쪽은 칫솔이 도달할 수 있도록 어금니를 다물고 닦는 것이 좋습니다.

프라그와 치석이 가장 먼저 생기는 부위가 치아 사이이기 때문에 치실과 치간칫솔을 써주면 더욱 완벽합니다.

스케일링
스케일링하면 치아에 금이 가거나 패이지 않을까 걱정하는 분이 많으신데요. 절대로 그런 일은 발생하지 않습니다.
스케일링 후 1~2주 정도 시릴 수 있는데 이것은 극히 정상적인 반응입니다.

스케일링 후에 치아 사이 공간 ‘블랙 트라이앵글’이 보이기도 하는데 이것은 그동안 잇몸병이 진행되어 부었던 것이 가라앉으면서 생긴 흔적입니다.
스케일링 부작용으로 잘못 오해하시는 분들이 계십니다.
치석 제거 주기
치석제거 주기는 주치의의 권유를 따르시는 것이 좋습니다.
1년 1회 스케일링 보험 혜택이 있으니 활용하시기 바랍니다.
'Nature and People' 카테고리의 다른 글
| 족저 근막염 증상과 원인 및 치료법(스트레칭 방법) (0) | 2021.07.25 |
|---|---|
| 라식과 라섹이란? 그 차이점과 부작용 (0) | 2021.07.21 |
| 청각 소금, 조염이란? (0) | 2021.07.13 |
| 호박에서 국수가 나오는 신기한 호박 "국수호박" / 효능 (0) | 2021.07.12 |
| 후박나무란? 효능과 먹는 방법 / 부작용 등 (0) | 2021.07.12 |